Seeing a dentist is no longer just a case of filling teeth or taking them out. At Northiam Dental we offer a wide range of cosmetic dentistry that is delivered by our experienced and specialist team who can straighten, lighten, reshape and repair your teeth to help significantly improve your smile.
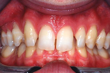
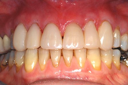
Composite bonding is a fast and effective way to improve your smile. By filling chips, improving twists or closing gaps with a resin that matches the colour of your teeth, we can restore them to their original appearance. This light-touch treatment helps you get a smile you’re happier with while retaining the natural look of the tooth — all in a single appointment.
To book an appointment call us on 01797 252727 or email mainstreet.northiam@nhs.net.
Veneers can improve the colour, shape and position of your teeth, and leave them looking natural and healthy. Applying a thin layer of porcelain to fit over the front surface of a tooth will close small gaps when one tooth is slightly out of position, bringing it into line with the others, and make a chipped tooth look whole again.
To book an appointment call us on 01797 252727 or email mainstreet.northiam@nhs.net.
When your teeth don’t ‘meet’ correctly, this can put strain on the muscles of the jaw, causing joint problems and sometimes headaches. Straightening crowded or crooked teeth will vastly improve their appearance by moving them into a more natural position, as well as bringing positive effects to your long-term oral and general health — and making your teeth easier to keep clean!We can provide either fixed braces or Invisalign.
To book an appointment call us on 01797 252727 or email mainstreet.northiam@nhs.net.
If the structure of your tooth is still sound, but the cavity has outgrown a more traditional filling, inlays and onlays offer the opportunity to add up to another 30 years to the life of your hardest working teeth and those most likely to suffer decay. They are stronger than a filling and less invasive to fit than a crown, and technology means they can be made to match the natural colour of your teeth, meaning you keep your natural teeth healthier for longer.
To book an appointment call us on 01797 252727 or email mainstreet.northiam@nhs.net.
Whitening your teeth is a very effective way of reversing the discolouration that most people experience as they get older. Very few people have naturally brilliantly white teeth, but this popular procedure will gradually lighten the natural colour of your teeth over a course of treatment that can last as little as four weeks, safely restoring your confidence with a sparkling smile.
To book an appointment call us on 01797 252727 or email mainstreet.northiam@nhs.net.
Missing teeth can affect the way you eat and speak, and dent your confidence. With long lasting dental implants attached to your jaw with a tiny titanium screw, we can fill any unsightly gaps left behind with custom-made, but natural looking replacements that have the appearance and feel of your natural teeth, making you proud of your smile once again.
To book an appointment call us on 01797 252727 or email mainstreet.northiam@nhs.net.
Cosmetic dentures can help create your ultimate smile, whatever your age. Sympathetically designed to match the natural look of your teeth, they fill the gaps left by lost or missing teeth while also having a positive effect on your health and wellbeing by restoring the alignment of your teeth that could otherwise lead to others becoming crooked or tilted, causing longer-term oral health issues.
To book an appointment call us on 01797 252727 or email mainstreet.northiam@nhs.net.











